Дитяча стоматологія
За статистикою, тільки у 10% дітей від народження ідеальні зуби. Тому, навіть при найкращому догляді за порожниною рота, батьки вдаються до послуг стоматологів.



Особливу увагу слід приділити першому візиту, бо саме він закладає основу довіри. Клініка D.Ante уважна до кожної деталі: від атмосфери в кабінеті до слів, якими стоматолог для дітей пояснює свої дії. Таким чином дитина почуває себе у безпеці й краще йде на контакт.
Чим відрізняється стоматологія для дітей
Сучасна дитяча стоматологія в Києві суттєво відрізняється від лікування дорослих. Тут потрібно враховувати вік, етап розвитку та індивідуальні особливості. Поки організм дитини постійно змінюється, ростуть зуби, формується прикус та щелепа, потрібно швидко реагувати на будь-які проблеми із зубами, щоб уникнути проблем у дорослому віці.
🦷Важливо: молочні зуби беруть участь у жуванні, формуванні прикусу та дикції. Їх передчасна втрата або хронічні запалення можуть призвести до проблем із постійними зубами.
Спеціалісти D.Ante намагаються побудувати свою роботу так, щоб зменшити кількість візитів і тим самим мінімізувати стрес для дитини. При цьому ви можете не сумніватись в ефективності цих візитів, адже в клініці працюють спеціалісти з досвідом роботи з маленькими пацієнтами та сотнями позитивних відгуків від батьків.
Чому батьки довіряють нам лікування зубів у дітей
Обираючи стоматологію дитячу в Києві, батьки в першу чергу шукають клініку з сучасним обладнанням та спеціалістами, які будуть уважні до їх дитини. Стоматологи клініки D.Ante мають не тільки сильну медичну базу та навичку комунікації з маленькими пацієнтами, а й постійно підвищують кваліфікацію. Саме тому ви можете сміливо довірити нам лікування вашої дитини.

Ми не змушуємо дитину лікуватись силою чи залякуванням, а пояснюємо навіщо це потрібно зрозумілою для неї мовою. Дитячий стоматолог в Києві на Олімпійській дає дитині час звикнути до нового простору, використовує зрозумілі приклади та загалом адаптовує свою розмову під вік та особливості характеру кожної дитини.
Стоматологія дитяча в Києві: на що звертати увагу при виборі
Ключові переваги клініки D.Ante, що спонукають батьків довіряти лікування зубів своїх дітей саме нам:
| Що важливо для батьків | Як це реалізовано у D.Ante |
|---|---|
| Кваліфікація і досвід лікарів | З дітьми працюють сертифіковані стоматологи, які регулярно проходять навчання та застосовують сучасні методики лікування зубів у дітей |
| Безболісне та делікатне лікування | Щадний підхід, адаптований саме для дитячої стоматології, без поспіху та зайвого стресу |
| Присутність батьків під час прийому | Батьки можуть знаходитись поряд із дитиною під час лікування, що допомагає знизити тривожність у дитини |
| Зручне розташування | Клініка знаходиться поруч зі станцією метро Олімпійська. До неї легко дістатись як громадським транспортом, так і автомобілем. |
| Зручний графік роботи | Дитяча стоматологічна клініка працює у будні та вихідні, що дозволяє планувати візити без шкоди навчанню малюків та роботі батьків |
| Прайс у вільному доступі | Дитяча стоматологія ціни доступні на сайті. За потреби їх можна уточнити телефоном або у чаті перед початком лікування |
Відгуки батьків
Читайте більше відгуків про стоматологію на сторінці відгуків.
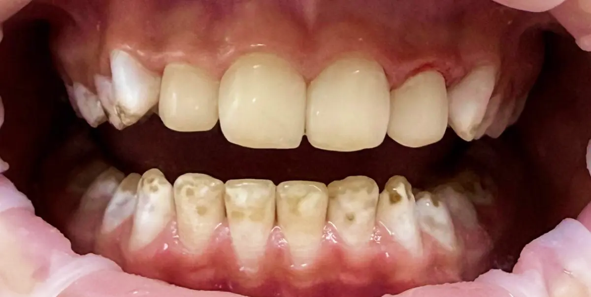
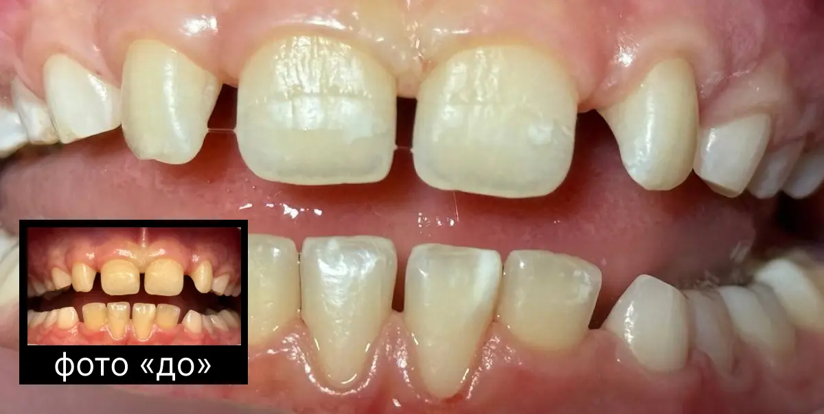
Наші роботи: до та після лікування (опис роботи + фото)
Які послуги надає дитяча стоматологія в Києві D.Ante
Дитяча стоматологія у Києві має охоплювати не лише лікування, а й ефективну профілактику. Спеціалісти D.Ante працюють комплексно, супроводжуючи дитину на всіх етапах розвитку зубів — від появи молочних до їх заміни на постійні та вирівнювання прикусу за потреби.
Лікування карієсу у дітей
Карієс у дітей має агресивніший перебіг, ніж у дорослих, через особливості будови молочних зубів. Тонка емаль і швидкий обмін речовин у тканинах сприяють стрімкому поширенню ураження. Тому важливо не тільки усунути видимі дефекти (і зробити це швидко), але й виявити приховані зміни.
У D.Ante дитячі стоматологи оцінюють повну клінічну картину: проблемні зуби, стан прикусу, рівень гігієни, становище ясен, харчові звички, попередній досвід лікування. Такий підхід дозволяє максимально ефективну методику лікування карієсу у дітей.
👩⚕️Коментар дитячого стоматолога: чим раніше виявлений карієс, тим простіше лікування і менший ризик ускладнень для зачатків постійних зубів.
Пломби для дітей
Якісне пломбування передбачає не просто закриття дефекту, а повне відновлення функції зуба з урахуванням темпу росту та навантаження. Дитячі зуби відрізняються від дорослих, тому матеріали для пломб підбираються індивідуально. Вони мають бути міцними та при цьому безпечними.
У дитячій стоматології у Києві D.Ante пломби для дітей встановлюються з урахуванням віку дитини, локалізації зуба та прогнозу його зміни. Це дозволяє зберегти зуб до моменту його природного випадіння та забезпечити повноцінне функціонування постійного зуба.
Фторування зубів
Фторування — важливий профілактичний етап у стоматології для дітей. Воно спрямоване на зміцнення емалі та підвищення її стійкості до дії кислот. Процедура фторування зубів рекомендована дітям із підвищеним ризиком карієсу, а також у період активного прорізування.
🐌Рекомендація: починати знайомство дитини зі стоматологом краще з огляду та профілактичних процедур. Це не боляче, тому в малюка не залишиться негативних спогадів про відвідування стоматології.
Герметизація фісур
Фісури — це природні заглиблення на жувальній поверхні зубів, у яких часто накопичується наліт. У дітей ці ділянки особливо вразливі до карієсу. Отже, герметизація фісур дозволяє закрити ці западини спеціальним матеріалом і таким чином зменшити ризик ураження.
Ця процедура не потребує препарування зуба, тому добре переноситься дітьми.
Реставрація молочних зубів
У випадках, коли зуб має значні руйнування, але ще здатен виконувати свою функцію, застосовується реставрація молочних зубів. Чому важливо зберегти зуб, а не просто його видалити? Передчасна втрата молочного зуба може призвести до зміни положення сусідніх зубів, що спричиняє труднощі росту постійного зубчика й подальше порушення прикусу.
Пульпіт у дітей
Внаслідок несвоєчасного лікування карієсу, може розвитися пульпіт у дітей. Це запалення внутрішньої тканини зуба, яке має здатність швидко переходити з гострої форми у хронічну. При цьому часто симптоми проявляються неяскраво, тому батьки не одразу помічають проблему.
👩⚕️Пояснення лікаря: при правильному лікуванні пульпіт у молочному зубі не є вироком. Зуб може повноцінно виконувати свою функцію ще кілька років.
Ще варто зазначити, що контроль після лікування зубів дітям є обовʼязковим етапом. Спостереження дозволяє уникнути ускладнень у майбутньому.
Періодонтит у дітей
Періодонтит — запальний процес, який може впливати на зачаток постійного зуба. Тому лікувати періодонтит у дітей вкрай важливо. В клініці D.Ante лікування цього стану проводиться в комфортних для дитини умовах і абсолютно безболісно.
Протезування молочних зубів
Як правило, протезування молочних зубів застосовується у випадках, коли зуб був втрачений передчасно. Якщо реставрації вже недостатньо, то спеціальні конструкції дозволяють зберегти місце для постійного зуба та нормалізувати жувальну функцію.
Видалення молочних зубів
Дитяча стоматологічна клініка в Києві D.Ante проводить видалення молочних зубів за чіткими показаннями. Лікар враховує вік дитини, стадію формування прикусу та положення зачатка постійного зуба.
Сучасна стоматологія для дітей дозволяє швидко видалити молочний зуб без болю та зайвих травм. У більшості випадків навіть не потрібна анестезія, досить правильного настрою дитини.
⚠️Важливо: якщо малюк дуже переляканий і не йде на контакт із лікарем, можна застосувати седацію, тобто лікування уві сні.
У дітей, як і у дорослих, може формуватися твердий наліт, який неможливо прибрати в домашніх умовах. Але у випадку дитини бактерії, що живляться цими новоутвореннями, набагато швидше спричиняють розвиток карієсу, ніж у дорослих.
Тут на допомогу приходить професійна чистка каменю і нальоту у дітей. Таким чином ви підтримуєте гігієну порожнини рота у дитини та знижуєте ризик запальних процесів.
Профілактика карієсу у дітей
Профілактичний огляд має бути регулярним, ще до появи скарг. Це дозволяє контролювати стан емалі, своєчасну коригувати гігієну та запобігти карієсу.
У D.Ante профілактика карієсу у дітей включає професійну гігієну, ремінералізуючі процедури та рекомендації щодо харчування. Дитячі стоматологи пояснюють, як саме домашній догляд впливає на здоровʼя зубів.
⚠️Важливо: регулярна профілактика дозволяє уникнути складного лікування і зберегти зуби на довгі роки.
Пластинки на зуби дітям
Пластики застосовуються у період активного росту щелеп, коли можна мʼяко впливати на формування прикусу, без використання складних ортодонтичних конструкцій. Вони направляють ріст зубів та розвиток щелеп у правильне положення.
Наші спеціалісти підбирають пластинки на зуби дітям індивідуально, після оцінки прикусу. Ви отримаєте детальні рекомендації щодо користування пластинками та пояснення чому важливо їх дотримуватись (і як спростити цей процес для дитини).
Консультація дитячого стоматолога в Києві на Олімпійській
Консультація дитячого стоматолога — це стартова точка, з якої починається лікування. Під час неї лікар оцінює стан зубів у дитини, розвиток прикусу, дає рекомендації щодо харчування та догляду за ротовою порожниною. Це початок грамотного лікування.
Якщо вам потрібен досвідчений стоматолог, який вміє знайти підхід до дитини, працює спокійно та послідовно, тоді звертайтесь у дитячу стоматологію в Києві D.Ante.
Ціни на лікування дитячих зубів
Первинна консультація
(включаючи протиепідемічний набір, оцінку ОПТГ/КТ, 1 прицільний знімок)
0-900 грн.*
*віднімається від вартості лікування за умови початку лікування протягом 30-ти календарних днів від консультації
Лікування зубів у дітей
Адаптація дитини до лікування
500 грн.
Анестезія
від 360 грн.
Використання кофердаму
(за потребою)
350 грн.
Глибоке фторування — 1 зуб
250 грн.
Глибоке фторування — 1 щелепа
1700 грн.
Інвазивна герметизація тимчасового «молочного» зуба
1100 грн.
Інвазивна герметизація постійного зуба
1400 грн.
Пломба
(поверхневий / середній / глибокий карієс)
1400/1600/1800 грн.
Лікування постійного зуба дитини
(реставрація)
від 1900 грн.
Повне відновлення коронкової частини зуба
(реставрація)
2900 грн.
Призначення лікування при захворюванні слизової оболонки
550 грн.
Лікування кореневих каналів у дітей (ендодонтичне лікування дитячих зубів)
Лікування кореневих каналів при пульпіті
(одноканальний зуб)
850 грн.
Лікування кореневих каналів при пульпіті
(багатоканальний зуб)
1780 грн.
Лікування періодонтиту у дітей
Лікування періодонтиту
(одноканальний зуб)
950 грн.
Лікування періодонтиту
(багатоканальний зуб)
2280 грн.
Протезування дитячих зубів
Зняття відбитків для коронки
(цифровий / силіконовий)
750 грн.
Металева коронка
2000 грн.
Лабораторна коронка PMMA
2400 грн.
Лабораторна композитна коронка — 3D-друк
4200 грн.
Біополімерна фрезована коронка (графен)
6000 грн.
Фіксація коронки
(вартість фіксації коронки будь-якого типу)
600 грн.
Ортодонтичні апарати для дітей
Відбитки — 1 щелепа
від 750 грн.
Виготовлення діагностичних моделей — 1 щелепа
300 грн.
Пластинки для коррекції прикусу
від 6750 грн.



